Okay let me tell you this dental implant journey, man. I’ve been battling this gum thing forever, felt like my teeth were on shaky ground. Read that headline somewhere – Can you get dental implants with periodontal disease? – and honestly? My first thought was “Yeah right, probably costs a fortune or they’ll just say no.”
Getting the Hard Truth
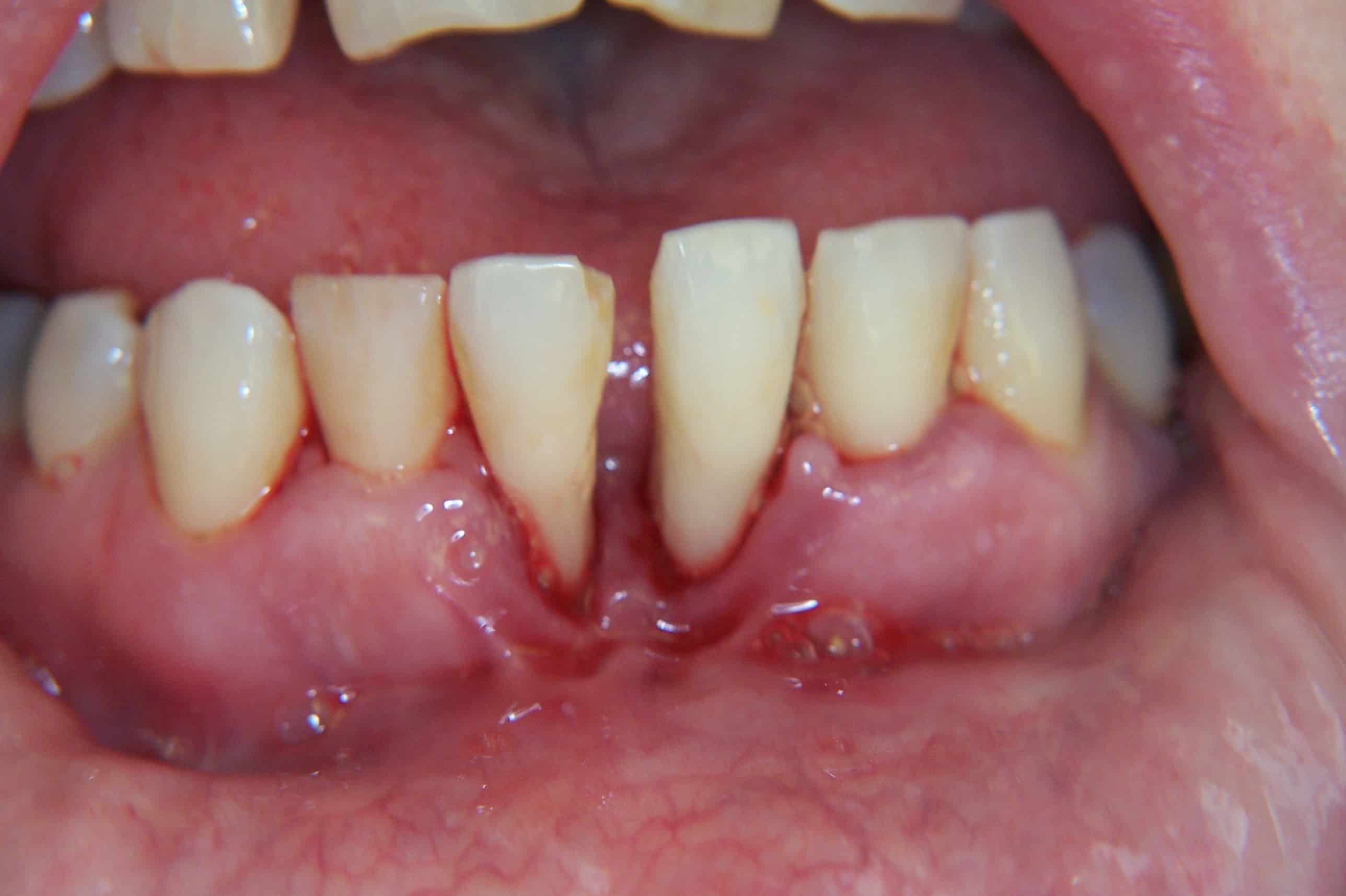
Went to see Dr. Chen last month, dreading it. Knew my gums weren’t great. She poked around, took those deep X-rays, and laid it out: “Severe periodontal disease.” Felt like a punch. Bone loss too. She didn’t sugarcoat it. Said implants right then? Absolutely not. My heart sank. Thought that was the end of the road for replacing my missing back tooth.

Gum Jail First
Dr. Chen said implants could happen, BUT only after “gum jail.” Her words, basically. The gum disease had to be stopped dead in its tracks. Here’s the drill I went through (literally):
- Deep Cleaning Hell: Like, under the gums. Local anesthetic, sure, but feeling them scrape way down there? Not fun. Took two long sessions. Mouth felt like hamburger after.
- Antibiotic Time: Got this gross gel stuff they squirted into the gum pockets after cleaning. Tasted awful.
- Strict Home Boot Camp: Water pik became my new best friend. Flossing religiously, weird little brushes between teeth, special mouthwash. Obsessed over it. Missed my coffee breaks without worrying about rinsing.
- Waiting Game: Months went by. Had checkups every few weeks. Dr. Chen kept measuring those damn pockets. Progress was slow, felt like forever.
The Green Light (Sort Of)
Finally, about four months later, Dr. Chen says the magic words: “Active disease is controlled. Significant improvement.” Bone was still a bit iffy in that back spot, but the infection was beaten down enough to talk implants. Was it perfect? Nope. But it was progress! She warned the implant spot might need some extra bone help later, but step one was DONE.
Moving to Phase Two
That’s where I am now. Met the surgeon. He looked at Dr. Chen’s reports, checked my gums himself. Said basically, “Yep, you did the work. The house is stable enough now to build.” We’re planning the implant surgery itself for later this summer. Still gotta do scans and all that jazz first.
So yeah, can you get implants with gum disease? YES. BUT and it’s a huge BUT, you gotta walk through that gum treatment fire first. It sucked, it took time, it cost more than I wanted (deep cleaning ain’t cheap!). But controlling that infection? Non-negotiable. No way they’d screw a metal post into a warzone. Now? Finally feel like there’s light at the end of this long, annoying tunnel. Just gotta get through surgery and healing next… wish me luck!